CASO CLÍNICO
Reabilitação Oral com Lentes de Contato
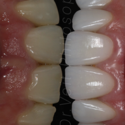
Paciente buscando melhoria no sorriso e alívio das tensões articulares causadas pela grande sobremordida e desgaste dos dentes molares que estão no fundo da boca.
Sorriso reabilitado de forma transdisciplinar, envolvendo todas as especialidades e recuperado com lentes de contato. Alívio das tensões articulares pelo restabelecimento correto da oclusão.














