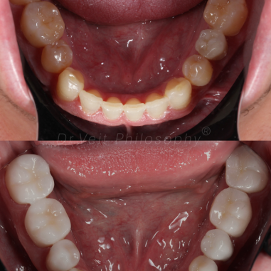
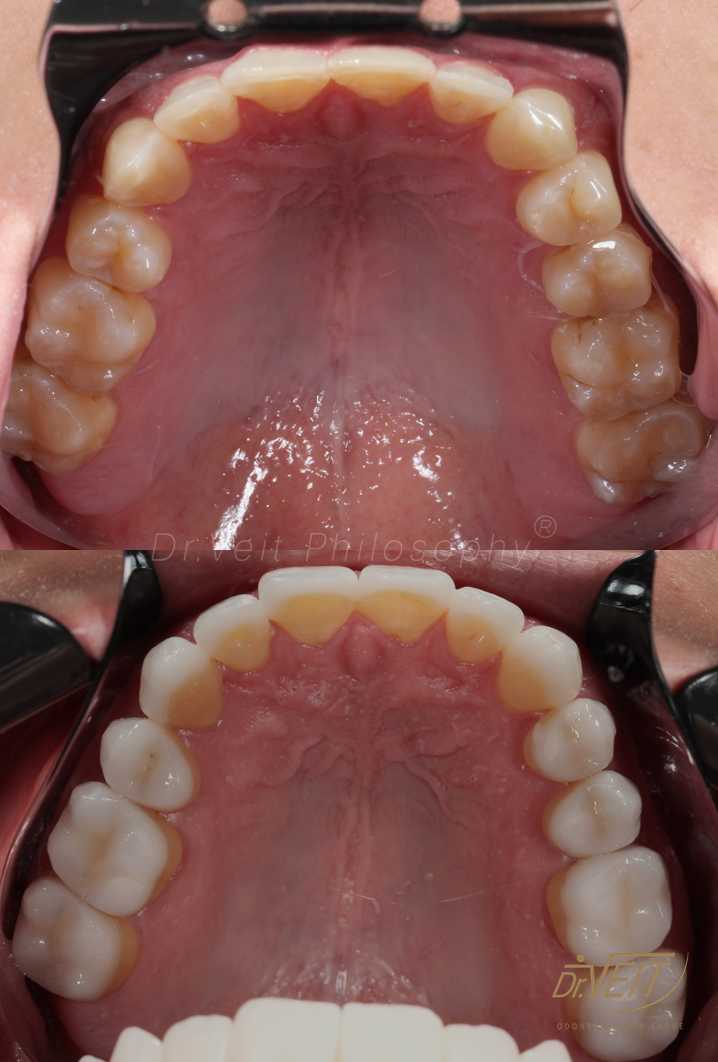
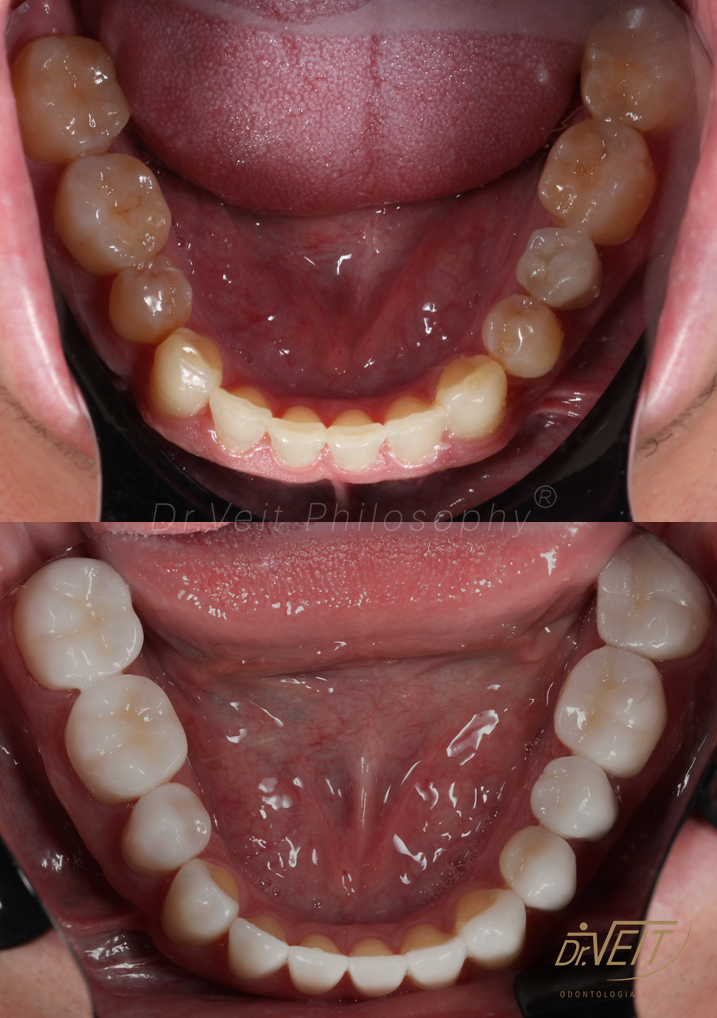
Paciente com queixa estética devido aos dentes da frente curtos e pequenos e a irregularidade do contorno gengival. Buscava melhorar seu sorriso, restabelecer a proporção dos dentes e coloração mais clara.
Realizou ortodontia prévia, permitindo um preparo pouco invasivo para a colocação das lentes de conta












