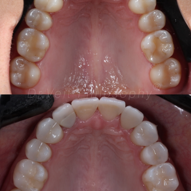
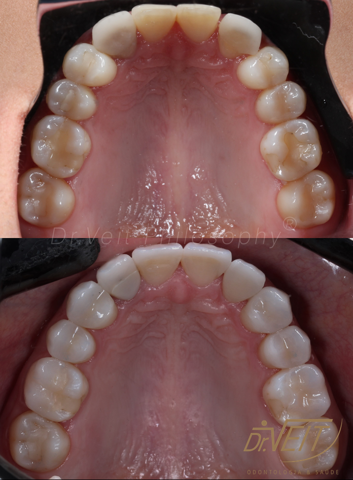
Paciente apresentava queixa estética devido a falta de dois dentes na região anterior. Para camuflar o problema, os dentes da região de trás foram trazidos para frente, fechando os espaços. As restaurações realizadas anteriormente nos incisivos laterais não entregaram à paciente a harmonia e equilíbrio necessário.
Em busca deste equilíbrio funcional e estético, realizamos lentes de contato dental. Desta forma, foi possível obter o sorriso tão sonhado.










