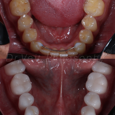
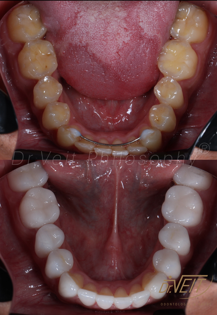
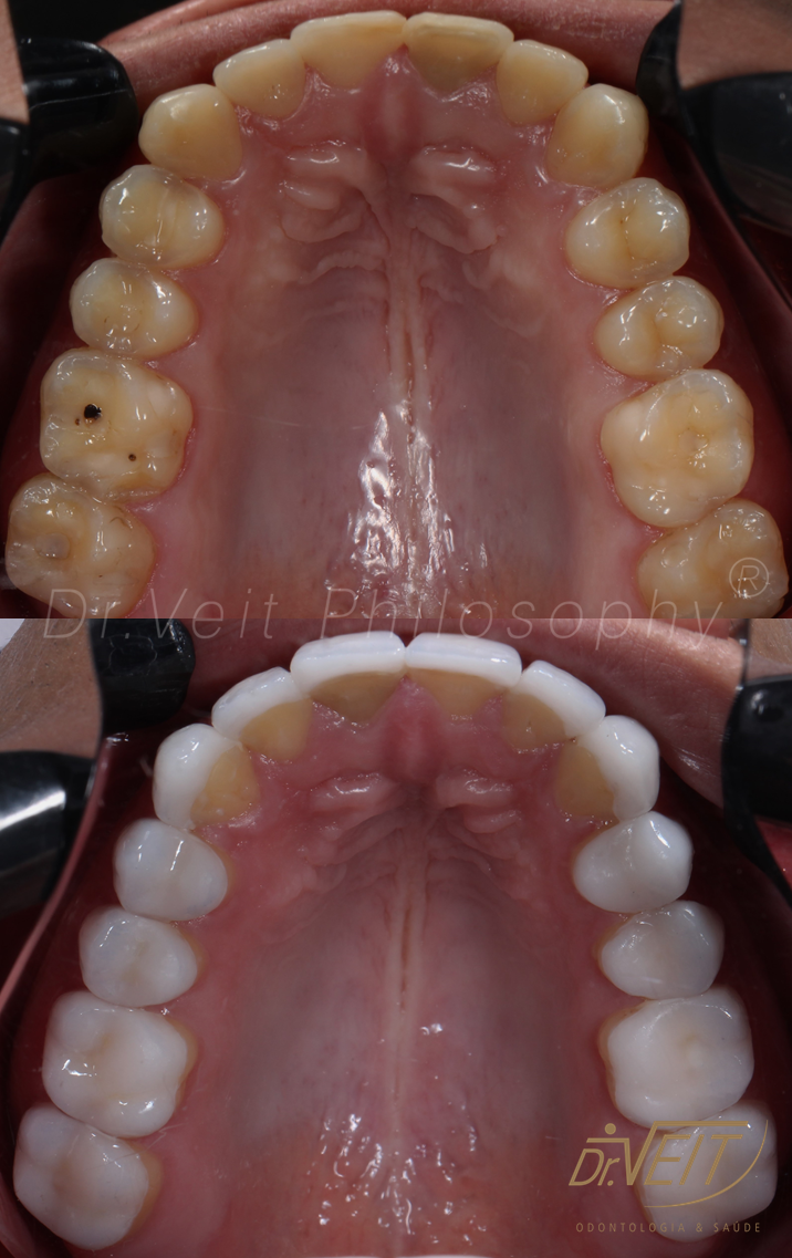
Paciente realizou seu tratamento ortodôntico com alinhadores, recuperando o equilíbrio de sua mordida. Ao finalizar seu tratamento, as diferentes tonalidades que o esmalte do seu dente apresentava e as restaurações antigas geravam um desequilíbrio estético do seu sorriso.
Para recuperar a harmonia, realizou-se todo o tratamento transdisciplinar na clínica, envolvendo várias especialidades, para, enfim, receber as lentes de contato dental.














