CASO CLÍNICO
Reabilitação Oral com Lentes de Contato
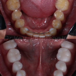
Paciente com queixa estética devido trauma no dente anterior, com coloração acinzentada, restaurações de resina antigas e manchadas, fraturas e desgastes generalizados que comprometiam a estética do seu sorriso.
Em busca de um sorriso mais claro e harmônico, realizou sua reabilitação com lentes de contato dental.
















