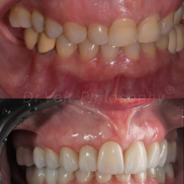
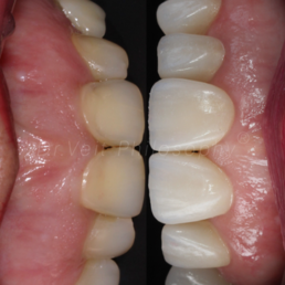
Reabilitação Oral Transdisciplinar, logrando longevidade, estética, naturalidade. Equilíbrio funcional e estético recuperado com lentes de contato dentais, este tratamento foi realizado de forma transdisciplinar, envolvendo todas as especialidades, recuperando a saúde dos dentes, dos ossos e gengiva, além do equilíbrio da mordida.




















