CASO CLÍNICO
Reabilitação Oral com Lentes de Contato
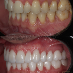
Paciente com queixa estética devido a fraturas, fissuras e retrações gengivais, coloração amarelada dos dentes e manchas.
Recuperamos a estética dos dentes e equilibramos a função com lentes de contato dental associada à plástica gengival. Resultado alcançado de forma rápida devido a agilidade do nosso laboratório.










