Grupo Dr. Veit – Excelência em Odontologia & Saúde | Rio de Janeiro – RJ

CASO CLÍNICO

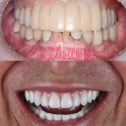
Reabilitação Oral com Implantes Zigomáticos

Arte de reabilitar os casos  “impossíveis”. Pacientes que buscam a reabilitação oral podem conquistar um belo sorriso com segurança, mais conforto e tranquilidade com o uso do Implante Zigomático. A técnica possui o diferencial de realizar a implantação no osso zigomático e é indicada para casos de perda óssea maxilar avançada.

https_drveit.com.br_casos-clinicos_reabilitacao-oral-com-implantes-zigomaticos-15__1