
O implante dentário é um assunto que atrai muito a atenção das pessoas, principalmente das que procuram recuperar a funcionalidade de seus dentes e a estética de seu sorriso.
É importante deixar claro que a técnica de implante dentário é um processo bastante seguro e eficaz. Este procedimento vem se tornando cada vez mais popular entre as pessoas que desejam recuperar a sua autoestima, afinal de contas, um sorriso bonito é o nosso cartão de visita.
Antes de fazer o implante dentário é preciso saber quais são as suas contraindicações e seus benefícios. Além disso, é necessário entender como é feito todo o procedimento de implantação. Neste artigo, iremos abordar esses e outros temas importantes que o ajudarão em sua tomada de decisão.
O que é implante dentário?
O implantes dentário é um procedimentos seguro e extremamente eficiente, mas você sabe exatamente o que é implante dentário?
Essa técnica consiste em fazer implantações de dentes ausentes ou perdidos. O procedimento é realizado por meio da colocação de um pino de titânio no maxilar ou mandíbula, que funcionará como uma raiz artificial. O pino então é integrado ao osso, numa técnica chamada osseointegração. Este procedimento irá garantir a estabilidade necessária para a implantação da prótese dentária.
Atualmente, existem vários tipos de implantes dentários. A escolha da técnica adequada irá depender da quantidade de dentes a serem implantados, da saúde bucal e da qualidade do osso do maxilar ou mandíbula do paciente. Quem pode determinar qual procedimento é o mais indicado para a sua necessidade é o dentista especialista em implantes, através de uma avaliação minuciosa e criteriosa.
Benefícios do Implante Dentário
É importante saber que os benefícios da implantação dentária vão muito além da substituição de dentes danificados. Ela muda por completo a estética dentária e o sorriso do paciente. Dentre os principais benefícios deste procedimento podemos destacar:
Melhora na aparência e aumento da autoestima
Ao realizar o procedimento de implante, é possível recuperar totalmente a aparência natural do sorriso. Isso melhora significativamente a fisionomia, além de aumentar a confiança e autoestima do paciente.
Maior segurança e conforto ao falar e mastigar
Vimos que ao fixar os pinos de titânio no maxilar ou mandíbula do paciente estamos criando “raízes artificiais” em sua estrutura óssea. Esse procedimento estabiliza e fixa as próteses dentárias, garantindo maior segurança e conforto para o paciente na realização de funções básicas, tais como como falar e mastigar. As próteses funcionam de maneira idêntica à sua dentição natural.
Prevenção de problemas bucais e ósseos
Além dos problemas estéticos que o paciente enfrenta, a ausência dos dentes traz inúmeros riscos à saúde. A falta de dentição pode causar alterações bucais e problemas ósseos, como por exemplo, a perda óssea no maxilar e na mandíbula.
Os implantes previnem estas disfunções já que os pinos de titânio impulsionam a regeneração óssea das regiões afetadas.
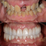
Implante Dentário: Antes e Depois
É notória a diferença que este procedimento faz depois de finalizado. Isso porque, antes da implantação das próteses, é comum perceber dificuldades na fala e na mastigação dos pacientes, que dificultam o seu dia a dia. Além disso, a aparência é bastante prejudicada pela ausência de dentes ou pela dentição danificada.
Após o procedimento, o paciente retoma imediatamente e por completo a funcionalidade bucal. E o melhor de tudo, as pessoas perdem o medo de sorrir em público e começam a expor com mais frequência, a beleza e o charme de um sorriso natural.
O implante dentário traz de volta a autoestima e a qualidade de vida do paciente. Mas lembre-se de procurar um profissional qualificado para realizar o procedimento e sempre desconfie de implantes dentários com o preço muito abaixo do mercado. Muitas vezes, o resultado pode não ser o que se esperava, além de criar novos problemas para a sua saúde bucal.
Qual o impacto do implante no organismo?
Como pudemos observar, o implante dentário é procedimento muito eficazes e seguros, além de extremamente recomendado por dentistas para substituir dentes danificados ou ausentes.
Não há nenhum tipo de evidência científica que comprovem algum malefício que os implantes possam causar ao organismo. Pelo contrário, a literatura acadêmica especializada indica que os implantes auxiliam na proteção do osso alveolar, além de proporcionar uma melhora na qualidade de vida dos pacientes que perderam os seus dentes.
Já no aspecto psicológico, não há como mensurar o poder que um novo sorriso proporciona. Para que você possa compreender o impacto provocado por este procedimento na autoestima de uma pessoa, sugerimos que você assista a este vídeo:
Como o implante se integra ao osso
O procedimento de implantação dentária é feito com materiais biocompatíveis, como zircônio ou titânio, que garantem a osseointegração, que nada mais é que a integração do osso com o implante. No decorrer do processo de osseointegração, as células do osso crescem e se unem à superfície do implante, gerando uma conexão estável e duradoura. Este processo leva algum tempo para ser totalmente concluído e sua duração depende do organismo do paciente e do tipo de implante utilizado.
Quando a osseointegração está completa, o paciente já pode receber os seus implantes, que podem ser fixos ou removíveis. No fim do processo, a funcionalidade e estética bucal do paciente estão completamente restauradas.
Implante dentário: Qual o procedimento correto?
Existem alguns cuidados que devem ser seguidos para o sucesso de um implante, a saber:
Cuidados pré e pós-operatórios
Cuidados pré-operatórios:
- Faça uma avaliação completa com um dentista especializado em implante dentário.
- Faça exames de imagens para que a sua ossatura seja analisada detalhadamente.
- Informe ao dentista sobre as suas condições de saúde.
- Evite o consumo de tabaco e de álcool alguns dias antes do procedimento.
Cuidados pós-operatórios
- Siga todas as orientações do dentista, principalmente em relação à higiene bucal.
- Evite alimentos quentes e duros nas primeiras semanas após o procedimento.
- Tome corretamente os medicamentos prescritos pelo dentista.
- Evite o tabaco e álcool durante todo o processo de cicatrização.
- Não deixe de ir ao dentista em todas as consultas de revisão e acompanhamento.
Recomendações para a escolha de um bom profissional e de uma boa clínica odontológica
Antes de iniciar o procedimento, recomendamos que você analise atentamente alguns pontos:
- Procure um profissional especializado com formação específica na área.
- Dê preferência para as clínicas mais conhecidas da cidade e verifique os depoimentos dos clientes.
- Análise a formação do profissional e a reputação do consultório odontológico.
- Informe-se com familiares e amigos que já tenham passado pelo mesmo procedimento.
- Veja se a clínica utiliza materiais de alta qualidade e se possui excelência no atendimento.
Efeitos colaterais
Com em qualquer procedimento cirúrgico, são comuns alguns efeitos colaterais, tais como:
- Dor e inflamação nos locais de implante.
- Hematomas e sangramento.
- Sensibilidade nos dentes ao redor do procedimento.
Possíveis reações e desconfortos após o procedimento
A rejeição ao procedimento é muito rara e quase nunca acontece, porém são observados algumas reações adversas:
- Infecção no local do implante dentário.
- Dificuldades ao abrir a boca.
- Sensação de pressão ou aperto no local do procedimento.
- Má cicatrização.
Como minimizar os efeitos colaterais
- Siga corretamente as orientações do dentista.
- Não consuma álcool ou use tabaco durante o processo de cicatrização.
- Utilize corretamente os medicamentos prescritos pelo dentista.
- Compareça ao dentista em todas as consultas de revisão e acompanhamento.

Perguntas Frequentes
1 – Quanto tempo dura o implante dentário?
Em média, de 10 a 15 anos, dependendo da higiene bucal, da qualidade da ossatura e da saúde geral do paciente.
2 – Quais são as principais contraindicações para a realização do implante dentário?
Por mais que o procedimento de implante seja uma opção eficiente e segura para grande parte dos pacientes, ainda existem algumas contraindicações que precisam ser consideradas antes de dar início ao tratamento e dentre as quais destacamos:
- Pessoas com doenças sistêmicas graves (doenças cardiovasculares, diabetes descontrolada, imunossupressão, etc.).
- Fumantes compulsivos.
- Pessoas com ausência óssea nas regiões de fixação dos pinos.
- Pessoas com distúrbio de coagulação sanguínea.
- Adolescentes que ainda não desenvolveram por completo a sua mandíbula e seu maxilar.
3 – Qual a diferença entre implante e prótese dentária?
Podemos dizer que a principal diferença entre a prótese e o implante dentário é que o implante oferece uma solução estável, permanente e duradoura, já que ele é totalmente fixado ao osso. Já a prótese é removível e pode ser retirada da boca, gerando insegurança e incômodo para os pacientes.
4 – O implante dentário causa alguma dor durante ou após o procedimento?
Durante a cirurgia o paciente é anestesiado, logo, não deverá sentir nenhum tipo dor, apenas uma leve pressão no local do procedimento. Os efeitos mais comuns no pós-operatório são:
- Aumento da sensibilidade no local da cirurgia.
- Dores localizadas.
- Desconforto moderado e inchaço na região do implante.
Esses efeitos geram alguns incômodos ao paciente, especialmente nos primeiros dias, porém, os transtornos pós-operatórios são amenizados com a correta utilização da medicação prescrita pelo dentista.
Conclusão
Podemos concluir que o implante dentário é a opção mais segura para quem deseja restabelecer a saúde bucal e ainda recuperar a sua autoestima. O procedimento devolve ao paciente toda a função mastigatória e também a estética dental, proporcionando um lindo e encantador sorriso.
Para garantir o sucesso do procedimento siga todas as recomendações do dentista e além disso, lembre-se de escolher uma clínica especializada neste procedimento.